Cirugía de Rodillas
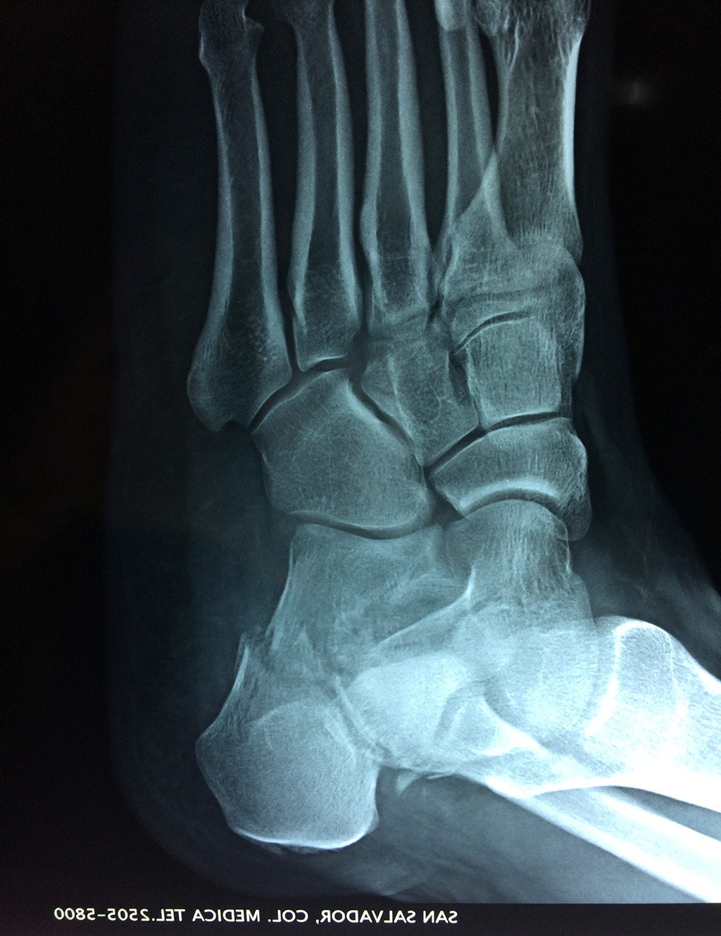
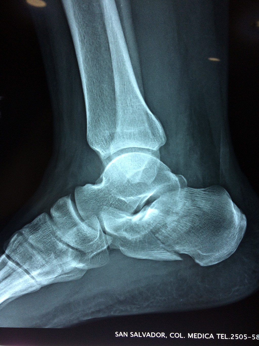
El calcáneo (del latín Os calcis) es un hueso del pie (tarso), corto, asimétrico, de forma cúbica irregular, con seis caras: superior e inferior, laterales y anterior y posterior, de las cuales dos son más o menos articulares.
Este hueso constituye el talón del pie. Se encuentra en la parte inferior de la primera fila del tarso. Se articula con el astrágalo por arriba y con el cuboides por delante. Constituye el primer punto de apoyo del pie durante la marcha, situándose en una de las zonas peor irrigadas del cuerpo y protegido plantarmente por la almohadilla plantar de tejido adiposo, con función amortiguadora.
En su cara posterior recibe la inserción del tendón más plantar, implicada en diversas enfermedades como la fascitis o el espolón calcáneo. La posición del calcáneo en relación al astrágalo (articulación subastragalina) y al suelo determinan la posición de retropié en varo, en valgo o neutra.
Los retropiés varos y sobre todo, los retropiés valgos, son responsables de distintas enfermedades del aparato locomotor y contribuyen a que aparezcan alteraciones de la marcha normal fisiológica, con consecuencias clínicas importantes (dolor, sobrecargas, aplanamiento, fatiga muscular, juanetes, etc.) tanto a nivel de pie como a nivel del miembro inferior.
De todo esto se deriva que su posicionamiento espacial es muy importante para contribuir a una marcha correcta y a la salud del resto del conjunto articular del pie.
