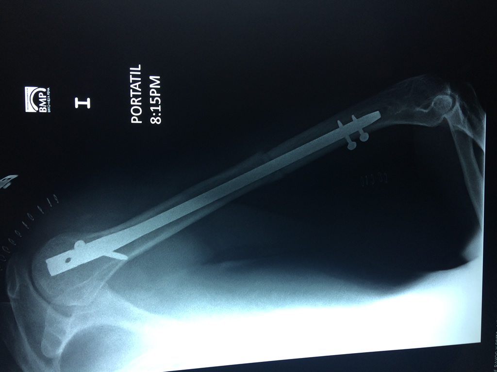
Cirugías de Húmero - Húmero
El Húmero (en latín, humerus) es el hueso más largo de las extremidades superiores en el ser humano. Forma parte del esqueleto apendicular superior y está ubicado en la región del brazo. ... El extremo proximal del húmero tiene la cabeza, cuellos quirúrgico y anatómico y tubérculos mayor y menor.
Powered by Phoca Gallery
