Tendón de Aquiles
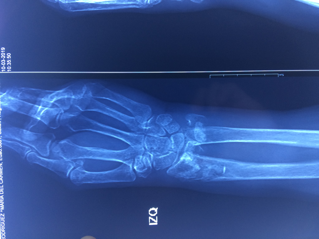
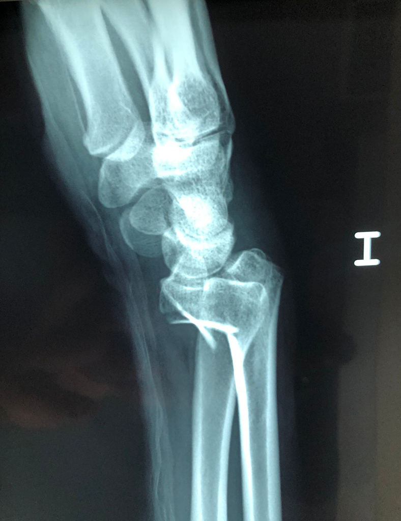
Los procedimientos más comunes en cirugía de la mano son aquellos destinados a reparar traumatismos, incluyendo lesiones de tendones, nervios, vasos sanguíneos, y articulaciones; huesos fracturados; y quemaduras, cortes, y otros daños de la piel.
De esta forma nos ponemos a tus órdenes, somos conocedores de estos tipos de problemas, visitarnos será un gusto el poderte ayudar. cualquier inquietud puedes escribirnos al correo Esta dirección de correo electrónico está siendo protegida contra los robots de spam. Necesita tener JavaScript habilitado para poder verlo.
Powered by Phoca Gallery
