Cirugías de Muñecas
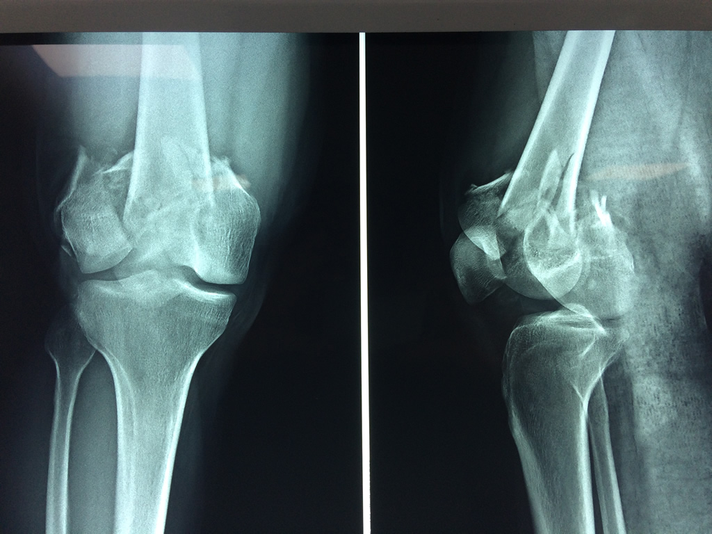
El fémur es el hueso del muslo, el segundo segmento del miembro inferior. Es el hueso más largo, fuerte y voluminoso del cuerpo humano.
Powered by Phoca Gallery

El fémur es el hueso del muslo, el segundo segmento del miembro inferior. Es el hueso más largo, fuerte y voluminoso del cuerpo humano.