RSS

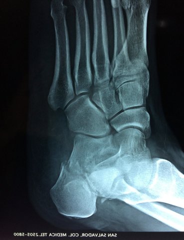
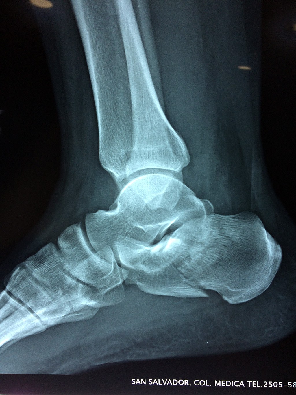
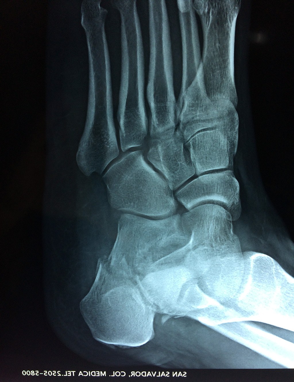
El calcáneo (del latín Os calcis) es un hueso del pie (tarso), corto, asimétrico, de forma cúbica irregular, con seis caras: superior e inferior, laterales y anterior y posterior, de las cuales dos son más o menos articulares.

Este hueso constituye el talón del pie. Se encuentra en la parte inferior de la primera fila del tarso. Se articula con el astrágalo por arriba y con el cuboides por delante. Constituye el primer punto de apoyo del pie durante la marcha, situándose en una de las zonas peor irrigadas del cuerpo y protegido plantarmente por la almohadilla plantar de tejido adiposo, con función amortiguadora.

En su cara posterior recibe la inserción del tendón más plantar, implicada en diversas enfermedades como la fascitis o el espolón calcáneo. La posición del calcáneo en relación al astrágalo (articulación subastragalina) y al suelo determinan la posición de retropié en varo, en valgo o neutra.

Los retropiés varos y sobre todo, los retropiés valgos, son responsables de distintas enfermedades del aparato locomotor y contribuyen a que aparezcan alteraciones de la marcha normal fisiológica, con consecuencias clínicas importantes (dolor, sobrecargas, aplanamiento, fatiga muscular, juanetes, etc.) tanto a nivel de pie como a nivel del miembro inferior.

De todo esto se deriva que su posicionamiento espacial es muy importante para contribuir a una marcha correcta y a la salud del resto del conjunto articular del pie.

Back
Calcaneo
Detail Download
Calcaneo
Detail Download
Calcaneo
Detail Download
Calcaneo
Detail Download
Calcaneo
Detail Download
Calcaneo
Detail Download
Calcaneo
Detail Download
Calcaneo
Detail Download
 
 
Powered by Phoca Gallery