Cirugías de Hombros - Rodilla
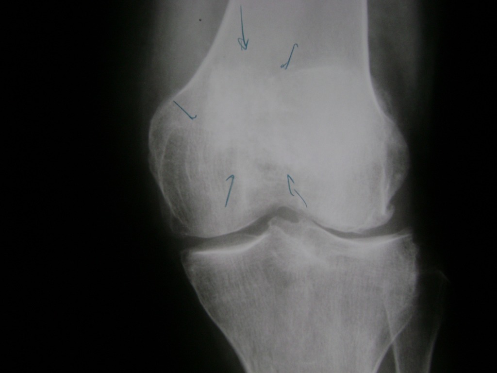
La artroscopia de rodilla es un cirugía en el cual la estructura interna de la articulación es examinada ya sea para realizar un diagnostico o para realizar un tratamiento, este procedimiento se realiza utilizando un instrumento parecido a un pequeño tubo llamado artroscopio.
La artroscopia se popularizo en 1960 y hoy en día es muy común en todo el mundo. Típicamente, es realizada por cirujanos ortopédicos de manera ambulatoria. Cuando se realiza de manera ambulatoria los pacientes pueden regresar a casa después de la operación, no se requiere quedarse en hospital.
De esta forma nos ponemos a tus órdenes, somos conocedores de estos tipos de problemas, visitarnos será un gusto el poderte ayudar. cualquier inquietud puedes escribirnos al correo Esta dirección de correo electrónico está siendo protegida contra los robots de spam. Necesita tener JavaScript habilitado para poder verlo.
